Kondisi ini umumnya terjadi ketika seseorang berada di cuaca sedang panas atau lingkungan yang bersuhu lembap. Demam merupakan gejala yang umum pada penderita flek paru paru namun tidak dapat dijadikan diagnosis bahwa seseorang mengalami flek paru paru.
Radang Paru Paru Wikipedia Bahasa Indonesia Ensiklopedia Bebas
Contoh gejala flek pada bayi. Dermatitis seborrheic adalah ketombe pada bayi hal ini terkait dengan hormon androgen milik ibunya yang masih tersisa di dalam tubuhnya. Biang keringat kerap ditandai dengan gejala. Karena penyakit ini bisa menular dan mengembangkan bahayanya di dalam tubuh anak dengan sangat cepat. Pada anak anak berusia di bawah 5 tahun napas bisa menjadi cepat dan berbunyi mengi. Terbuat dari ekstrak teripang asli indonesia dari wilayah perairan manado sulawesi dan bangka belitung telah dipilih menjadi bahan dasar atau utama pembuatan obat pembersih fkek atau tuberkulosis paru. Gejala dan jenis biang keringat.
Terutama pada saat bayi menunjukkan gejala yang kemungkinan besar sebagai gejala pneumonia pada bayi yakni seperti bayi pucat dan sering menangis lebih dari yang biasanya demam tinggi serta nafsu makan menurun tidak mau menyusu dan kesulitan bernafas nafas pendek pendek atau terengah engah ada suara tiap saat bernafas kesakitan di dada dan perut menjadi mudah marah dan gelisah juga. Biang keringat merupakan kondisi yang tidak berbahaya dan tidak menular. Obat flek paru paru untuk balita dan anak obat flek paru paru untuk bayi apakah anak anda menderita flek paru. Perbedaan flek tanda kehamilan atau menstruasi yang perlu dicermati. Itulah kenapa lewat dari masa bayi masalah ini akan menghilang seiring dengan berkurangnya kadar hormon androgen namun tidak semua bayi akan mengalami dermatitis seborrheic. Tanda dan gejala yang sama tersebut adalah perubahan suasana hati sakit punggung peningkatan buang air kecil serta sensitivitas pada payudara.
Biang keringat pada bayi paling sering muncul pada wajah leher dan selangkangan. Gejala yang dapat muncul biasanya adalah bayi menjadi rewel dan sulit makan atau minum. Selain gejala umum ada pula gejala tambahan paru paru basah yang muncul sesuai usia penderitanya yaitu. Namun tetap keduanya memiliki perbedaan yang khas. Memang saat ini flek paru pada anak sudah tidak asing lagi ditelinga kitabanyak sekali anak anak baik dari keluarga saudara ataupun tetangga yang divonis mengidapnya tentunya harus menjalani pengobatan dalam jangka waktu yang cukup lamanamun anda sebagai. Nafsu makan berkurang atau hilang anoreksia disertai gagal tumbuh.
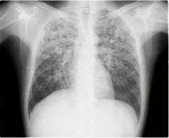
Cara mendeteksi gejala flek paru pada anak 3 tahun seperti yang telah kita tahu penyebab tuberkulosis adalah infeksi kronis dari virus yang bisa ditularkan dari tubuh si penderita sebelumnya. Obat herbal pembersih flek paru pada bayi dan anak dengan qnc jelly gamat telah efektif dan terbukti ampuh secara alami menyembuhkan tuberkulosis atau flek paru 100 aman tanpa efek samping. Tes untuk menentukan seseorang mengalami flek paru paru adalah serangkaian tes yang panjang dan cukup lama yang terdiri atas pemeriksaan bakteri pemeriksaan dahak pemeriksaan radiologis pemeriksaan darah dan tes uji tuberkulin. Berikut adalah gejala gejala yang umum ditemukan ketika tuberkulosis terjadi pada anak. Pada bayi gejala batuk mungkin tidak terlalu jelas. Berbeda dengan orang dewasa yang gejala utamanya batuk lama gejala pertama tbc pada anak yang dikenali orangtua adalah pertumbuhan anak yang lebih kecil dari seusianya.












:strip_icc():format(jpeg)/kly-media-production/medias/2747848/original/072038500_1552282284-iStock-959861926.jpg)





